Sëmundja ishemike e zemrës


Semundja ishemike e zemres

Infarkti akut i miokardit është ndërprerja e menjëhershme e furnizimit të muskulit të zemrës me gjak dhe për pasojë me oksigjen. Infarkti akut i miokardit përbën urgjencë mjekësore.

  • Muskuli i zemrës ushqehet me gjak nga arteriet koronare ose nga “pema koronare”. Këto arterie shtrihen mbi muskulin e zemrës, midis tij dhe cipës që e mbështjell atë, prandaj quhen sub epikardiale.
  • Ka dy arterie koronare kryesore: e djathta dhe e majta. Ato vazhdojnë më tej në degëzime më të vogla, ku secila nga degët ka emra të veçantë dhe furnizon me gjak një sektor të caktuar të muskulit të zemrës. Këto enë gjaku, pra arteriet koronare kanë një diametër mjaft të vogël (rreth 1- 2.5mm) dhe gjaku do një presion të caktuar për të kaluar dhe për ta furnizuar zemrën në të gjitha drejtimet.
  • Pakësimi i furnizimit të muskulit të zemrës me gjak ndodh në ato raste kur bllokohen pjesërisht nga pllaka yndyrore që formohen dhe shtrihen brenda tyre. Sa më e madhe të jetë pllaka brenda enës së gjakut, aq më shumë pengohet qarkullimi. Në këto raste muskuli i zemrës vuan dhe tek i sëmuri kjo vuajtje shprehet me dhimbje në zonën e zemrës.
  • Bllokimi i pjesshëm i enës shprehet me ishemi të miokardit. Kur ena e gjakut bllokohet plotësisht dhe menjëherë, kemi infarkt akut të miokardit.

Ankesat:

  • Dhimbje gjoksi e fortë, e menjëhershme, e zgjatur, që nuk qetësohet me trinitrinë, mbytëse, me përhapje në nofulla dhe në krahun e majtë, në disa raste me përhapje në dy gishtat anësore të dorës së majtë.
  • I sëmuri mund të mbulohet me djersë, “t’i priten gjunjët”, të përjetojë gjendje “të fikëti”, në disa raste dhimbja shoqërohet edhe me mungesë në frymëmarrje.
  • Kur arteriet koronare janë të bllokuara pjesërisht nga pllaka me yndyrë, atëherë ankesat e të sëmurit shfaqen vetëm gjatë sforcimeve. Kjo gjendje klasifikohet si: angina pectoris e qëndrueshme dhe i sëmuri duhet t’i nënshtrohet ekzaminimeve mjekësore menjëherë.
  • Kur dhimbjet e gjoksit fillojnë të shfaqen edhe në qetësi ose e zgjojnë nga gjumi të sëmurin, kuptojmë rëndimin e sëmundjes. Kjo gjendje klasifikohet si: angina pectoris e paqëndrueshme, dhe paraqet urgjencë për ekzaminim dhe trajtim.

Diagnoza:

    EKG

    Elektrokardiograma ose regjistruesi i ritmit të zemrës ka të bëjë me regjistrimin e potencialeve elektrike të zemrës. Me anë të këtij ekzaminimi shihet nëse ka ndryshime që tregojnë se muskuli i zemrës vuan nga furnizimi i pamjaftueshëm me gjak dhe oksigjen.

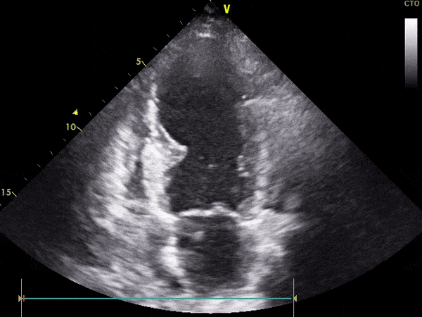
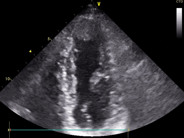
    TTE

    Ekokardiografi transtorakale triplex (2D, color, doppler) ose e njohur ndryshe si eko e zemrës, është e domosdoshme për të parë funksionimin e zemrës dhe lëvizshmërinë e mureve të saj.


    Pamje të kapura me TTE:



Prova ushtrimore:

Është një provë indirekte, funksionale, gjatë së cilës zemra vihet në sforcim duke përdorur tapet lëvizës ose biçikletë. Ka një protokoll të përcaktuar sipas disa fazave, duke e ndjekur rigorozisht të sëmurin me EKG dhe me matje të TA-së (tensionit).

  • Kryhet në të gjitha rastet kur pacienti ka dhimbje të herëpashershme gjoksi, sidomos në sforcimet fizike.
  • Ajo shpreh një vlerësim indirekt të qarkullimit koronar, pra të furnizimit me gjak dhe oksigjen të muskulit të zemrës.
  • Përbën një ekzaminim paraprak dhe një urë lidhëse nëse pacienti duhet të kryejë koronarografi apo jo.


CT scan ose MRI:

Skaneri ose rezonanca magnetike me kontrast e arterieve koronare. Ekzaminime radiologjike të rëndësishme për të bërë diagnozën diferenciale nëse kemi të bëjmë me kalcifikime të arterieve koronare.


Koronarografia:

Ekzaminimi përfundimtar, me saktësinë më të lartë për vlerësimin e pemës koronare. Quhet grafia me kontrast e arterieve koronare dhe është ekzaminim invaziv radiologjik, i cili shërben për diagnozë dhe trajtim.

  • Një kateter mjaft i hollë futet nëpërmjet enëve të gjakut periferike deri në arteriet koronare. Më pas lirohet një substancë e lëngshme, e cila kontraston të gjithë pemën koronare dhe bën të mundur përcaktimin e ngushticave.
  • Koronarografia është ekzaminimi përfundimtar që përcakton saktësisht se ku janë të vendosura pllakat me yndyrë, në cilat degë, sa përqind e bllokojnë enën e gjakut dhe nëse ka ndonjë enë gjaku të bllokuar plotësisht.


Trajtimi:

Në vartësi të diagnozës përfundimtare, të vendosur gjatë koronarografisë, bëhet dhe trajtimi i të sëmurit.

  • Kur ngushtimi është i rëndësishëm, atëherë ena koronare zgjerohet me një mini balonë dhe më pas vendosen stentë, të cilat quhen ndryshe edhe unaza. Këto të fundit bëjnë të mundur zgjerimin e arteries koronare duke lënë të lirë qarkullimin e gjakut.
  • Kur ka disa enë të ngushtuara, që janë në vende strategjike, tek të cilat ka vështirësi vendosja e unazës, i sëmuri i nënshtrohet ndërhyrjes kirurgjikale.
    • Ndërhyrja kirurgjikale quhet “by-pas aorto koronar”. Me anë të kësaj ndërhyrjeje realizohet një urë kalimi e cila furnizon me gjak pjesën pas ngushtimit. Kjo urë kalimi realizohet me arterien ose me venën e vetë të sëmurit. Arteria merret nga kraharori ose nga krahu, ndërsa venat merren nga këmbët.
  • Në rastet kur nuk gjykohet e nevojshme vendosja e stentë-ve, ose kryerja e operacionit, i sëmuri trajtohet vetëm me medikamente.

Në të gjitha rastet, të sëmurët me sëmundje të arterieve koronareve ose ata të operuar me by-pas, duhet të ndiqen rregullisht nga mjeku kardiolog. Sipas protokolleve të përcaktuara ndërkombëtare ata duhet:


  • Të kryejnë rregullisht TTE dhe provë ushtrimore për të vlerësuar nëse unazat apo by-paset janë funksionale.
  • Të marrin në mënyrë rigoroze medikamentet, që hollojnë gjakun, si plaviksin dhe aspirinën.
  • Të mjekojnë në mënyrë rigoroze faktorët e tjerë të rrezikut, si:
    • Tensioni.
    • Yndyrat.
    • Diabeti.
    • Të ruajnë peshën optimale.
    • Të mos konsumojnë duhan.
    • Të mos konsumojnë alkool.
    • Të bëjnë aktivitet fizik të caktuar sipas situatës dhe gjendjes klinike, të përcaktuar nga mjeku që ndjek të sëmurin.


Parandalimi:

A mund të parandalohet sëmundja ishemike dhe infarkti?

Mund të parandalohen duke pasur parasysh objektivat e mëposhtëm:

  • kzaminime rutinë ose check-up i aparatit kardiovaskular (flasim për persona në dukje të shëndetshëm, pa ankesa)
    • Për seksin mashkull pas moshës 40 vjeç.
    • Për seksin femër pas moshës 45 vjeç (kur fillon menopauza, ose kur ka menopauzë që në moshë të re për arsye të ndryshme).
  • Në të dyja rastet e mësipërme ky check-up përfshin:


Check-Up i mësipërm mund të realizohet në një moshë më të re kur ka të pranishëm disa faktorë rreziku, si:


  • LDL kolesteroli në shifra të larta.
  • Histori familjare për infarkt akut të zemrës apo vdekje të papritur.
  • Sëmundje nga diabeti që në moshë të re.
  • Mbi peshë, obesitet.
  • Konsumi i duhanit.
  • HTA (hipertension) esencial persistent (i vazhdueshëm), i pamjekuar.
  • Konsumi sistematik i alkoolit.
  • Jeta sedentare, pa aktivitet fizik.
  • Stresi emocional i theksuar dhe mbizotërues.
  • Konsumi i substancave narkotike dhe/ose simulantëve të ndryshëm.


  • KUJDES! Teksti në këtë faqe është shkurtuar dhe thjeshtësuar për t'u bërë më i kuptueshem nga pacienti mesatar. Ai ka si qëllim informimin e publikut dhe nuk duhet në asnjë mënyrë të zëvendësojë konsultat mjekësore të specializuara.