Ekografi Kardiake TTE dhe TEE


Blog

Ekokardiografia (ose eko e zemrës) është një ekzaminim me ultratinguj i zemrës dhe enëve të gjakut. Me anë të këtij ekzaminimi mjeku specialist vizualizon në mënyrë të detajuar strukturat e zemrës, formën, përmasat dhe lëvizjen e saj. Nëpërmjet efektit doppler me ngjyra, mjeku specialist merr të dhëna të plota për funksionin e zemrës dhe të valvulave brenda saj.

    Ekokardiografia ndahet në dy lloje:

  • Ekografi kardiake trans-torakale ose TTE.
  • Ekografi kardiake trans-ezofageale ose TEE.


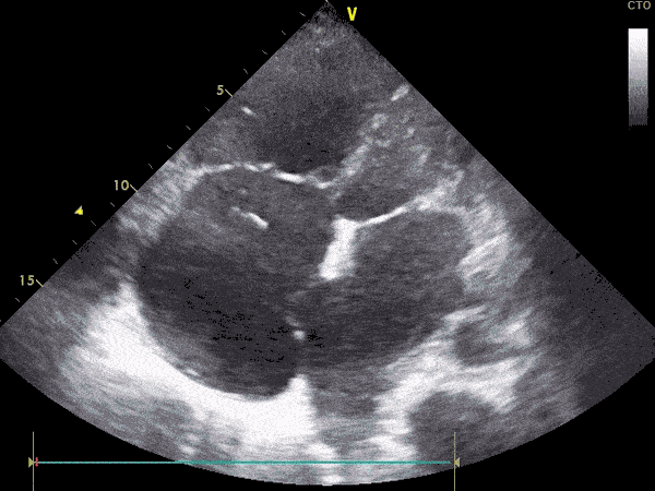
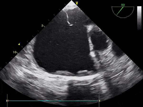
  • Pamjet e mëposhtme tregojnë të njëjtën zemër të kapur me TEE dhe TTE:






    EEkografi kardiake trans-torakale ose TTE

    TTE është një ekzaminim bazë në fushën e kardiologjisë. Ky ekzaminim është joinvaziv dhe realizohet nëpërmjet një sonde me ultratinguj e cila lidhet me aparatin kryesor të ekografisë. Sonda vendoset mbi kraharorin e pacientit, në dritaren ekokardiografike ku projektohet zemra. Kjo sondë mund të lëvizet në disa pozicione duke i dhënë mundësinë mjekut specialist për të marrë imazhe të ndryshme.

    Personat që duhet të bëjnë TTE përfshijnë personat që vuajnë nga:

  • Sëmundje të valvulave të zemrës.
  • Sëmundje të enëve të gjakut.
  • Sëmundje të lindura të zemrës.
  • Sëmundje të muskulit të zemrës.
  • Sëmundje të enëve koronare, infarkti akut i miokardit, ishemia.
  • Sëmundje të cipës së zemrës, perikarditet akute dhe kronike.
  • Tumore të zemrës.
  • Çrregullime të ritmit të zemrës.
  • Çrregullime të përçimit të impulsit.
  • Sëmundje kronike të mushkërive.
  • Trombozat akute të mushkërive.
  • Presioni i rritur i gjakut në mushkëri.

  • Ekografi kardiake trans-ezofageale ose TEE.


    Blog

    TEE është një ekzaminim invaziv dhe më i rrallë i zemrës. Ky ekzaminim realizohet me anë të një sonde endoskopike me ultratinguj që futet në ezofag nëpërmjet gojës. Sonda është fleksibël dhe lidhet me të njëjtin aparat ekografik që kryhet TTE. Imazhi i përftuar është shumë më i detajuar dhe nëpërmjet tij mund të shihen struktura shumë më të vogla të zemrës të cilat nuk shihen me TTE. Ky ekzaminim mund të kryhet me sedacion ose jo. Në çdo rast është e nevojshme një parapërgatitje nga ana e pacientit. Ajo përfshin:

  • Në momentin e ekzaminimit pacienti duhet të ketë të paktën 6 orë pa konsumuar ushqim dhe 4 orë pa konsumuar lëngje.
  • Do të kryhet biseda informuese paraprake me mjekun, si dhe plotësimi i formularëve të konsensusit.
  • Orofaringu (fyti) do të mpihet me një lëndë anestezike lokale.
  • Mund të aplikohet procedura e sedacionit, nëse pacienti do ta kërkojë.

  • TEE rekomandohet nga mjeku kardiolog në rastet e mëposhtme:

  • Kr pamja në TTE nuk është e qartë për shkak të problemeve kronike të mushkërive, dhjamosjes, diafragmës së ngritur, apo cikatricave të mëdha në lëkurë.
  • Për të konfirmuar indikacionet për ndërhyrje kirurgjikale te personat që vuajnë nga sëmundje të valvulave të zemrës.
  • Për të konfirmuar indikacionet për ndërhyrje kirurgjikale te personat që vuajnë nga sëmundjet e aortës.
  • Për të konfirmuar diagnozën e saktë dhe indikacionet për ndërhyrje kirurgjikale te personat që vuajnë nga sëmundjet e lindura të zemrës.
  • Për të konfirmuar diagnozën e saktë te fëmijë ose të rriturit, tek të cilët dyshohet për vrimë në zemër.
  • Për të parë funksionin normal të valvulave artificiale të zemrës, tek ata pacientë që i kanë ndërruar ato me ndërhyrje kirurgjikale. Tek ata pacientë që dyshohet për keqfunksionim dhe/ose infeksion të këtyre valvulave, TEE është domosdoshmëri.
  • Për të zbuluar praninë e trombeve (mpiksje të gjakut) brenda në zemër, tek ata pacientë që pësojnë paraliza.
  • Për pacientët që vuajnë nga tumore të zemrës.
  • Për pacientët që kanë kryer ndërhyrje kirurgjikale si riparime të valvulave të zemrës.
  • Për pacientët që vuajnë nga sëmundjet koronare, apo ata që kanë kaluar infarkt.
  • Për pacientët që vuajnë nga dëmtime primare të muskulit të zemrës.

  • Për t’u informuar mbi komplikacionet e mundshme, lidhur me këtë ekzaminim, ju lutem konsultohuni me formularin e konsensusit për TEE.